Sinar-X atau Rontgen ditemukan oleh ilmuan jerman Wilhem Conrad Rontgen pada tahun ( 1845-1923).
Pada bulan november Rontgen sedang mempelajari pemancar elektron dari tabung katode. lempeng logan yang terletak di dekat tabung katode memancarkan sinar flueresens selama elektron dialirkan. oleh sebab itu Rontgen menyimpulkan bahwa sinar tersebut disebabkan oleh sinar radiasi dari suatu atom. Karna tidak dikenal dalam ilmu, maka Rontgen memberi nama denagn sebutan Sinar-X.
Manfaat Sinar-X atau Rontgen
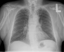
Dalam ilmu kedokteran, sinar-x dapat digunakan melihat kondisi tulang,gigi serta organ tubuh yang lain tanpa melakukan pembedahan langsung ke tubuh pasien.
Efek atau Dampak
Rontgen akan berdampak aatau berefek berbahaya pada tubuh kita apabila digunakan secara berlebihan maka akan menimbulkan penyaki yang berhaya, seperti misalnya kanker. oleh sebab itu para dokter ataupun pihak rumah sakit tidak menganjurkan terlalu sering memakai foto rontgen secara berlebihan.
Posisi
Dikenal beberapa posisi dalam foto Rontgen (radiologi) kedokteran :
- PA (Postero-Anterior) sumber cahaya berada di belakang pasien, dan plat hitam berada di depan pasien. Posisi ini yang paling sering digunakan terutama untuk foto Rontgen thorax (dada)
- AP (Anterior-Postero) Sumber cahaya berada di depa pasien, dan plat hitam berada di belakang pasien. Posisi ini biasa digunakan pada pasien yang tidak mampu berdiri unuk mengambil posisi PA karna sakit yang dideritanya.
- Lateral (samping)
- lateral dekubitus
- oblik (miring).
Sekian dari saya Terimakasih.
Penting : jika anda membaca posting biasakan meninggalkan jejak. Thankz.










